لینکهای قابل دسترسی

خبر فوری
چهارشنبه ۱۴ آبان ۱۴۰۴ ایران ۲۱:۲۶

انجمن سرطان آمریکا: زنان غربالگری سرطان سینه را از ۴۵ سالگی آغاز کنند


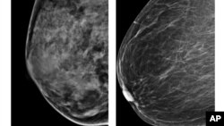
زنانی که بافت پستان آنها متراکم تر است، خطر ابتلا به سرطان پستان در آنها بیشتر است. تصویر سمت چپ، پستان متراکمتر را نشان می دهد.
زنانی که بافت پستان آنها متراکم تر است، خطر ابتلا به سرطان پستان در آنها بیشتر است. تصویر سمت چپ، پستان متراکمتر را نشان می دهد.

"انجمن سرطان آمریکا" با صدور توصیه جدیدی می گوید بیشتر زنان باید آزمایش های سالانه غربالگری سرطان سینه را به جای ۴۰ سالگی، از ۴۵ سالگی آغاز کنند. این نوع آزمایش ها کمک می کند که افراد، و در این مورد زنان، ابتلای احتمالی به سرطان را زودتر متوجه شوند و درمان آن را زودتر آغاز کنند.

"انجمن سرطان آمریکا" همچنین اکنون توصیه می کند که زنان از ۵۵ سالگی، آزمایش های غربالگری سرطان پستان را هر دو سال یک بار انجام دهند.

این یک توصیه کلی برای همه زنان نیست و این گروه می گوید آنچه خود زنان ترجیح می دهند نیز باید در نظر گرفته شود.

به گزارش آسوشیتدپرس، دکتر ریچارد وندر، رئیس کنترل سرطان انجمن گفته است مهمترین پیام این است که ماموگرافی موثرترین کاری است که یک زن می تواند برای کاهش احتمال مرگ ناشی از سرطان پستان انجام دهد.

او توضیح داد ماموگرافی در زنان جوان تر بی تاثیر نیست، اما در ۴۰ سالگی، ابتلا به سرطان پستان متداول نیست و احتمال اینکه آزمایش های اولیه به اشتباه نشان دهد فردی به سرطان مبتلا است، بیشتر است و می تواند باعث نگرانی فرد و آزمایش های بیشتر نظیر نمونه برداری شود.

توصیه جدید انجمن سرطان آمریکا تایید می کند برخی از زنان جوان تر با علم به این مسائل، می خواهند که آزمایش های سالانه غربالگری سرطان پستان را از ۴۰ سالگی آغاز کنند و مادامی که آنها به جوانب این تصمیم خود آگاه باشند، انجام این آزمایش ها از ۴۰ سالگی ایرادی ندارد.

این توصیه ها را کارشناسانی داده اند که ده ها مورد تحقیق از جمله تحقیقاتی را که از سال ۱۹۹۷ منتشر شده، مطالعه کرده اند.

"انجمن سرطان آمریکا" یک انجمن بزرگ سراسری در آمریکا است که گروهی از پزشکان و داوطلبان آن را برای مبارزه با انواع سرطان تشکیل داده اند. در آمریکا انجمن های بسیاری در این زمنیه فعالیت دارند.

XS
SM
MD
LG